【佳学基因检测】德莫塞尔综合征分子诊断怎么做De Morsier syndrome?
分子诊断导读:
德莫塞尔综合征视是英文疾病名称De Morsier syndrome的中文翻译。其他广为使用的名称包括狄莫西亚氏症侯群、迪·摩斯尔综合征隔。de Morsier综合征,也称为视间隔发育不良(SOD),是一种罕见的疾病,其特征是视神经发育不全、垂体发育不全和大脑中线异常,包括透明隔缺失和胼胝体发育不良。SOD的可变表现包括视觉、神经和/或下丘脑-垂体内分泌缺陷。很大一部分SOD病例的通过基因检测无法检测出致病基因突变,突显了基因解码在识别新的SOD相关基因的重要性。佳学基因通过基因解码建立这一疾病的临床表征与基因序列变化的关系,可以提供致力找到病因、阻断遗传的基因解码和出于风险考虑的基因检测。
德莫塞尔综合征疾病介绍:
Septo-optic dysplasia (SOD),也称为 de-Morsier 综合征 (OMIM # 182230),主要根据以下任何组合来诊断:(1) 视神经发育不全 (ONH); (2) 中线神经放射学异常,如胼胝体发育不全和透明隔缺失; (3) 垂体发育不全,继发全垂体功能减退症。 所有病例中大约 30% 的特征是存在所有 3 种改变,而分别在 62% 和 60% 的病例中观察到垂体功能减退和透明隔缺失。 德莫塞尔综合征是一种罕见的先天性异常,据报道发病率为 1/10,000,并且在男性和女性中同样普遍。德莫塞尔综合征代表临床范围而不是特定的一种疾病。 受影响的患者可能在婴儿期出现全身性改变,包括新生儿低血糖、黄疸、癫痫发作、发育迟缓、发育迟缓和小生殖器。 还描述了几种眼科表现,包括视力障碍、眼球震颤、斜视,偶尔还有屈光不正。大多数病例是散发性的。 在极少数情况下,可以确定家族史。 对家族性病例的研究表明发育基因(HESX1、SOX2、SOX3)存在突变。 在佳学基因介绍的一个病例中,存在早发性 SOD 中的 FLNA 基因突变。
德莫塞尔综合征基因解码
根据《人的基因序列变化与人体疾病表征》,过去有部分机构和医务人员认为德莫塞尔综合征不是遗传性疾病,甚至有人认为该病不是由基因引起的,德莫塞尔综合征发生的内在基因原因被忽视。佳学基因通过基因解码找到并定位了导致这一疾病发生的原因,提出了德莫塞尔综合征的遗传风险,并建议通过基因检测明确和排除风险,让后代、二胎不再患有德莫塞尔综合征,实现德莫塞尔综合征遗传阻断的目的。佳学基因病案集中一个患者是一名 2015 年出生的男孩,是健康父母的第二个孩子。 他有一个健康的姐姐,姐姐于 2011 年出生。他出生时妊娠 376/7 周,顺产(体重,2.4kg;z-分数,->1,65;长度,45-cm;z-分数, − 2.45;头围,31 cm;z 分数,- 1.84;Apgar 评分,1 分钟 8 分和 5〉 分钟 8 分)。 出生后 5 小时,他因低血糖(床旁检查,29mg/dl)被送入新生儿病房,并接受了 72 小时的静脉葡萄糖输注。 先天性巨细胞病毒感染的脑超声和实验室检查结果均正常。6个月大时的初步评估显示整体发育迟缓。 患者的体格、营养和身高对于他的年龄而言是正常的(z 评分,+ 0.64)。 检查显示小头畸形(z 评分,− 1.56)、畸形特征(薄上唇、尖腭、低植发、长人中、广泛的睑裂)、肢体异常(右脚趾和双脚足底垫植入异常) )、小阴茎和隐睾。患者出现全身性肌张力减退; 他无法实现头部控制,并表现出水平眼球震颤、眼球运动障碍和视力障碍。 没有癫痫发作史。 头颅磁共振成像 (MRI) 显示髓鞘形成延迟、胼胝体发育不全(图 1)和垂体发育不全。 没有闪光视觉诱发电位反应。

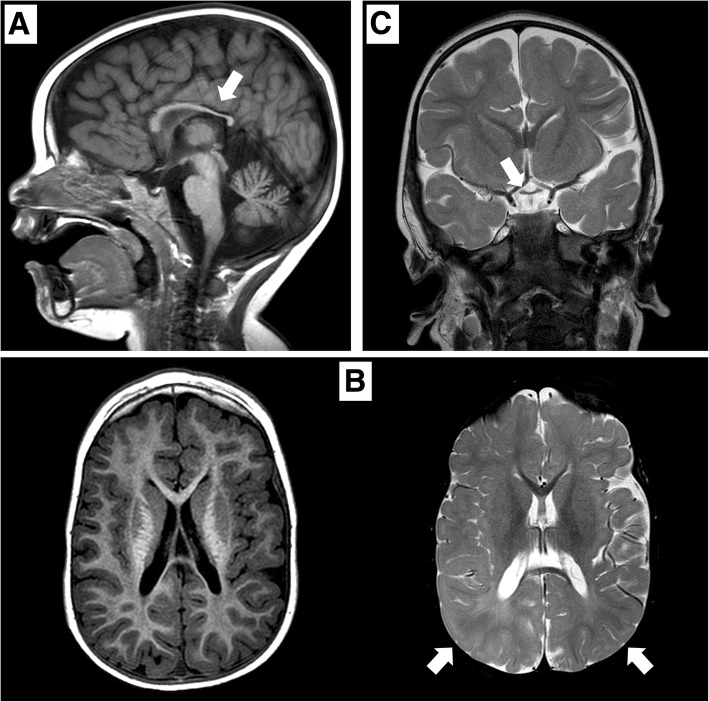
矢状位 T1 加权图像显示胼胝体发育不全(白色箭头)。 b 轴向 T1 加权(左)和轴向 T2 加权(右)图像显示胼胝体发育不全和双侧皮层下顶叶白质(白色箭头)中改变的、不明确的信号。 c 显示视交叉发育不全的冠状 T2 加权图像(白色箭头)
两个月后,患者实现了头部控制,但无法独立坐下。 代谢测试(乳酸、丙酮酸、肌酸激酶、氨基酸、有机酸、硫胺素、核黄素、游离脂肪酸、长链脂肪酸、生物素酶、肉碱、戊二酸、4-羟基丁酸、嘌呤和嘧啶)结果正常。
在生命的前 2 年,患者的生长速度正常但逐渐下降,z 分数为 + 5.79(第一年)和 + 0.85(第二年)。 2岁后(当生长激素 [GH] 开始发挥更重要的作用时),患者的生长速度在 24 至 30 个月(z 分数,−2.1)和 30 至 36 个月(z 分数,->2.1)之间显着下降 − 5.05).
内分泌状态分析显示,在基线(无刺激)时,患者的激素水平在甲状腺(TSH、T4)、生长(IGF1、IGFBP3)和性腺(FSH、LH)轴的正常范围内。
在 2 岁时,患者无法保持目光接触,也没有发展语言技能。 直到 3 岁时,他才能独立坐下。此时,头颅 MRI 显示双侧视神经发育不全,并证实胼胝体发育不全(图 (图 1).1)。 为评估先天性心脏缺陷而进行的超声心动图显示无阻塞的室间隔肥大。
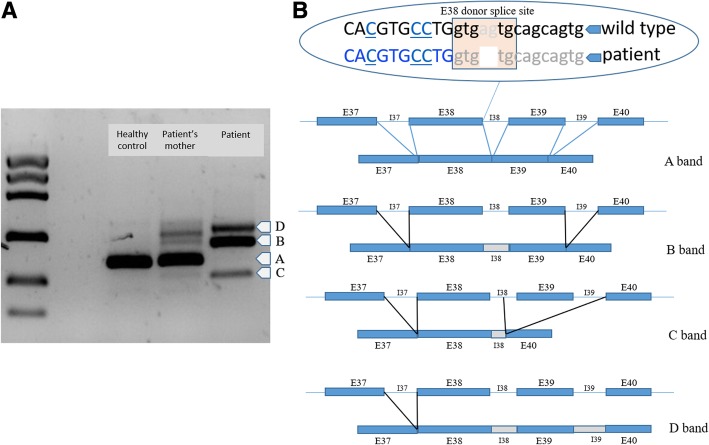
二代测序在 FLNA 基因(参考序列 NM_001456.3)中检测到一个罕见的半合子状态的内含子变异 c.6355 + 4_6355 +〉5delAG。 该基因突变通过常规以数据库比对为基础的基因检测无法检出。该变体包括在内含子 38 的位置 + 4 和 + 5 处缺失 2 个核苷酸。鉴于其位于可能对剪接敏感的区域,使用 Human Splicing Finder (HSF v3.0) 软件进行计算机分析以 评估变异对 FLNA mRNA 剪接的可能影响。 计算机分析的结果表明,在 FLNA 的内含子 38 开头创建的 2 个强大的外显子受体剪接位点可能会阻碍正确剪接(图 2)。 这解释了 3 个突变体转录物中内含子 38(或其部分)的保留。

患者的变异是遗传的,它被确定为患者母亲的新生突变。 患者的姐妹是该变异的杂合子携带者。
进行 cDNA 研究以确定该变体是否影响剪接。 RT-PCR 扩增揭示了患者体内完全没有野生型 cDNA(A 条带)和 3 个突变的 cDNA,所有这些似乎都产生了过早的终止密码子。 在最丰富的突变转录本(B 带)中,内含子 38 被保留,而在最长的转录本(D 带)中,内含子 38 和 39 被保留(图 3)。 在最小的 cDNA(C 带)中,大约一半的内含子 38 存在,但外显子 39 不存在。 对患者母亲的 cDNA 分析揭示了野生型 mRNA 的存在,以及在患者身上发现的相同的 3 个突变转录本,尽管程度较小。 在不同条件下进行cDNA PCR以确定所获得的PCR产物是否存在变异。 在所有情况下都获得了类似的结果。

德莫塞尔综合征遗传测试花钱多吗?
根据佳学基因的专家介绍,德莫塞尔综合征是一种基因病,基因随着血缘关系传递。好在佳学基因开发了基因解码技术,可以将德莫塞尔综合征的发病原因定位到人体基因 信息的特定位点上,并通过胚胎筛选和优化技术将致病基因位点剔除出去,从而使得后代不再会出现德莫塞尔综合征的患病风险。所以,要避免德莫塞尔综合征的遗传风险,先要做德莫塞尔综合征致病基因鉴定基因解码,普通的基因筛查和基因检测不能完成这一个使命。
立即咨询:点击此处。
